Демо работы

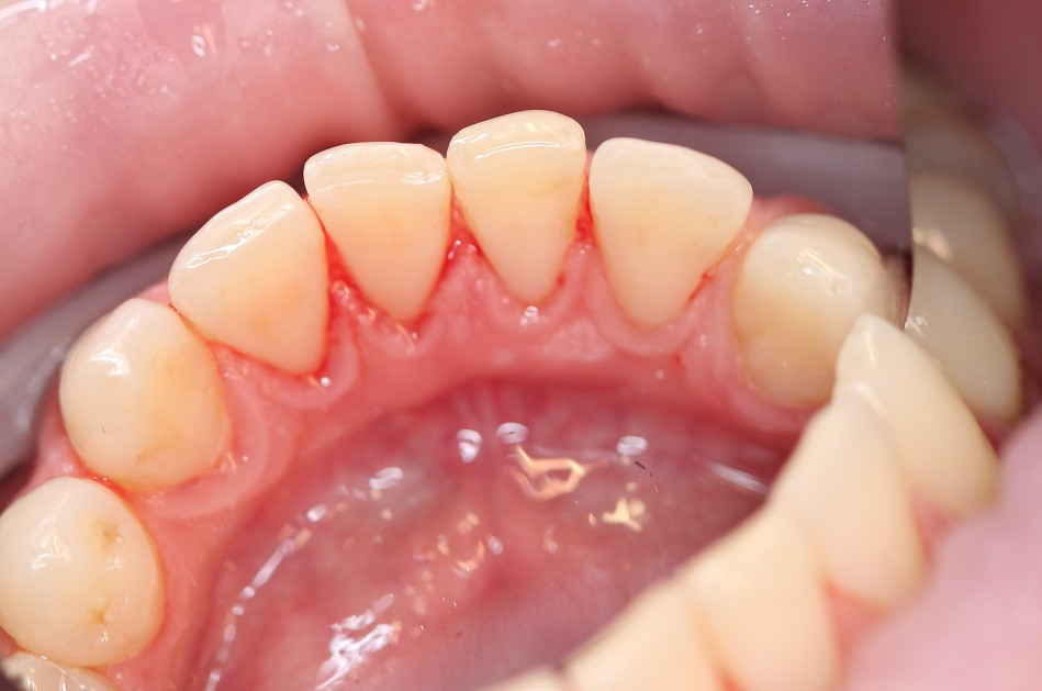
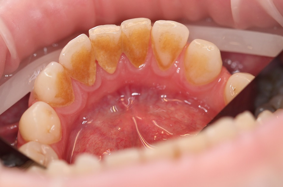
Описание клинического случая здесь.

Проводили лечение

Нет врачей для отображения

Записаться онлайн
Записаться на телефону
+7 (8412) 27-99-77 перезвоним в течение 10 минут

Вступайте и пишите в группу

Наш сайт использует cookie. Продолжая им пользоваться вы соглашаетесь со всеми правилами проекта.